La neoplasia denominata gliomatosis cerebri identifica un raro tumore del sistema nervoso centrale, nel quale cellule neoplastiche gliali infiltrano diffusamente (praticamente senza formare noduli) estese porzioni di esso: encefalo, midollo spinale, nervo ottico, materia bianca, ecc.
Il tumore può fare la sua comparsa de novo (GC primario) o essere il risultato di propagazione di un glioma inizialmente focalizzato (GC secondario).
I sintomi di questa malattia non sono specifici ed includono: mal di testa, epilessia, disturbi visivi, deficit del tratto cortico-spinale, letargia, demenza.
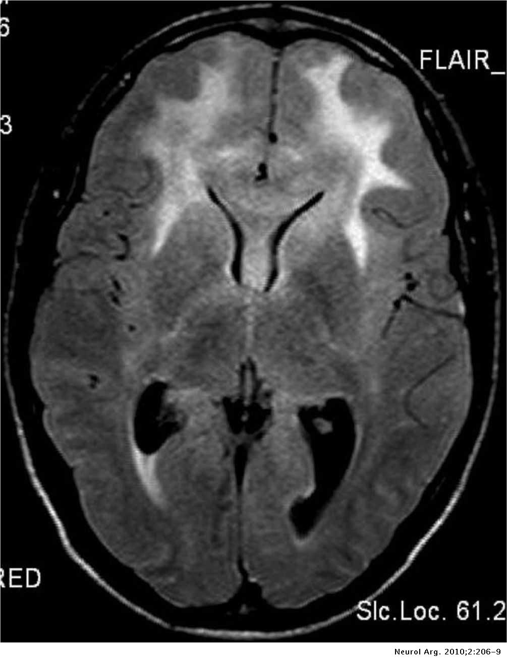
Alla risonanza magnetica la neoplasia appare come una lesione diffusa, poco circoscritta, infiltrante e senza enhancement, con segnale iperintenso nelle immagini pesate T2, e che si espande verso la materia bianca. È difficile da distinguere da un astrocitoma anaplastico altamente infiltrante o da un glioblastoma.
A causa dell'estensione del tumore, non è generalmente possibile ricorrere alla chirurgia; per lo stesso motivo la radioterapia offre il rischio di severa tossicità, ma in selezionati casi riesce migliorare la sintomatologia. La chemioterapia un qualche incoraggiante risultato ha mostrato di ottenere con l'uso soprattutto di temozolomide.
Note
Bibliografia
- (EN) P.L. Lantos and J.M. Bruner (2000). Gliomatosis cerebri. In P. Kleihues, W.K. Cavenee, eds., Pathology and genetics of tumours of the nervous system, World Health Organization classification of tumours. Lyon, France: IARC Press, 2000, ISBN 92-832-2409-4
Voci correlate
- Classificazione dei tumori del sistema nervoso centrale
- Gradazione dei tumori del sistema nervoso centrale
- Neurooncologia
- Glioma pontino intrinseco diffuso
- Neuroradiologia dei tumori primitivi cerebrali
Altri progetti
- Wikimedia Commons contiene immagini o altri file su gliomatosis cerebri




